Natural Ways to Maintain Good Dental Health

Aug 25, 2025 - 04:04
 0  5
Natural Ways to Maintain Good Dental Health

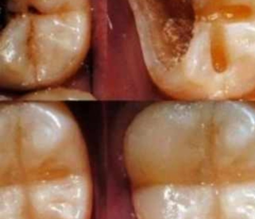
Are you tired of dealing with the pain and discomfort of cavities? Don’t worry, there are easy and natural ways to promote good dental health and potentially reverse tooth demineralization in its early stages. While these methods can help, it’s important to note that a visit to the dentist is usually required once a cavity has formed. But let’s explore some simple ways to prevent early tooth decay and maintain good oral health.

A Balanced Diet for Strong Teeth

You can support the remineralization of your teeth by maintaining a balanced diet and practicing proper dental hygiene. Pay attention to your mineral intake and include healthy fats like coconut oil in your meals. Also, make sure to include mineral-rich foods such as shellfish, organic dairy products, and leafy greens. These nutrients can strengthen your teeth and gums, potentially preventing cavities from forming.

Reduce Phytic Acid Intake

Phytic acid is commonly found in foods like grains, beans, nuts, and seeds. Consuming large amounts of phytic acid can make it difficult for your body to absorb minerals, which can affect the health of your teeth. Try reducing your intake of these foods to promote better oral health and potentially prevent cavities.

Avoid Processed Foods

Processed foods often contain added sugars and preservatives, which can contribute to tooth decay. By avoiding these foods and focusing on whole, natural foods, you can support your dental health and reduce the risk of cavities.

Professional Dental Care is Key

While these tips can help in maintaining good oral health and preventing early tooth decay, it’s important to remember that they are not a substitute for professional dental care. If you already have a cavity, make sure to schedule an appointment with a dental professional for proper treatment.

By adopting a balanced diet, practicing proper dental hygiene, and making smart food choices, you can take proactive steps towards maintaining a healthy smile. Let’s strive for natural methods of oral care to keep our teeth strong and cavity-free.

Enjoy!

What's Your Reaction?

like

dislike

love

funny

angry

sad

wow